Our Battle with ECC

Our Battle with Early Childhood Caries | Pediatric Dentistry Center Philippines

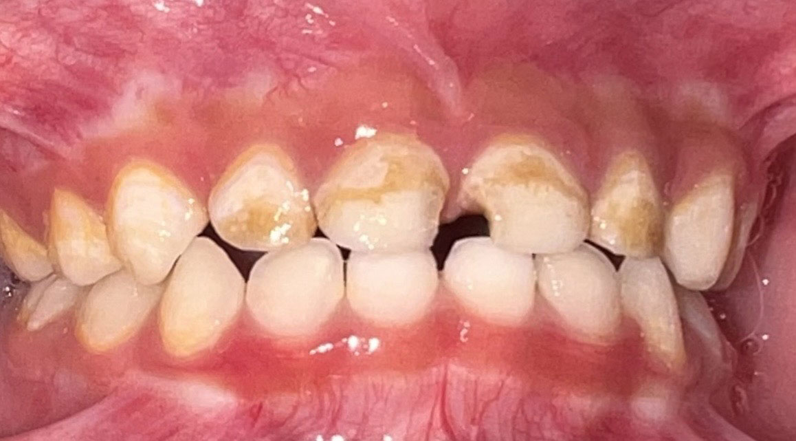
Many children with dental caries suffer. Dental caries is the scientific name of tooth decay; and Early Childhood Caries or ECC is the aggressive form of dental caries plaguing our 5-year-olds and below, which have serious effects like pain and infection, that inhibits their proper growth and development.

In the Philippines, awareness of ECC is low. Our elders would say, “baby teeth lang yan” or “mapapalitan din naman yan”; not knowing that these rotten baby teeth can cause pain and infection so bad that the children become picky eaters and have sleepless nights because of pain, making them at risk for malnutrition. Worse, our toddlers are not able to communicate any pain - they just cry, leaving the parents clueless; and the child in pain. The Department of Health in 2018 says that 87% of our 5 year old children have dental caries. While we have no data for those below 5 years old, we can only assume that this prevalence is very high. And so it is no surprise that the Philippines ranks as one of the countries with the highest tooth decay rates in the world.

Other indirect effects of ECC include an insufficient height and weight gain causing sickly children; loss of self-esteem which can result to inadequate personality development that is important for a child’s mental health and well-being; speech defects especially when the front teeth are rotten; an increase in school absences resulting to poor academic performance and low grades; an increase in medical and dental expenses for the family and a crappy oral health-related quality of life.

The good news is dental caries is preventable! But the bad news is we are not doing much about it. Dental caries is primarily caused by an imbalance of two factors: sugar and oral hygiene. When we eat or drink anything with sugar, bacteria metabolizes the sugar causing the pH of our saliva to drop bringing about acid production. This acid will now prompt the teeth to lose minerals called demineralization. For tooth decay NOT to happen, we need to remineralize (put back the minerals) the teeth. This can be done in various ways:

  • One, we need to brush teeth with at least 1,000 ppm of fluoride toothpaste twice a day. Fluoride helps to strengthen the teeth, making it more resistant to demineralization. Brushing the teeth not only gets rid of the food debris in the mouth but also inhibits plaque formation. Plaque is the sticky white film containing bacteria, leftover food particles and saliva. Plaque is technically colorless, but it can have color because food particles stick to the plaque. Retained plaque on the teeth can now cause dental caries, gingivitis and periodontal disease.
  • Another way to promote reminerlization is to drink water and lots of water. We all know that water can neutralize the acid environment and help wash away food particles. If you drink a sugary beverage while eating, then that can only increase acid levels, instead of neutralizing it.
  • Third, is LIMITING sugar intake, of course. Sugar is an essential factor of dental caries. Tooth decay does not occur in the absence of dietary sugar. While sugar is abundant in candies, donuts, cakes, biscuits, sugary breakfast cereals, it is also plentiful in the drinks that are the craze now — milk tea, frapuccino and other coffee drinks, sodas, energy drinks and fruit juices.
  • Other remineralization strategies include: increasing eating intervals to at least 3 hours to allow the saliva to recover; flossing to access those areas not reached by the toothbrush; chewing sugar-free gum to stimulate saliva flow and rinsing with an antibacterial mouth wash (e.g. chlorhexidine).

While dental caries does not form if you forget to brush one night, or after a candy binge during trick or treat, constant demineralization of your teeth will lead to the initiation of the formation of dental caries. How do you know if tooth decay is forming? The first sign would be a white spot on your tooth. This means the demineralization factors are outweighing the remineralization strategies. According to research, a white spot can appear in a tooth in just four weeks if the imbalance continues. A white spot is reversible if you increase your remineralization strategies so much that it will tip the scale to outweigh the demineralization factors. But if demineralization continues, then the enamel (outer covering of the tooth) will eventually break down, it will then proceed to dentin (the next layer) and into the pulp (the nerve supply and blood supply of the tooth). At this time, the bacteria causes inflammation inside your tooth and will be painful. If still untreated, this will cause cell death and more serious infections can eventually happen and spread throughout the body (e.g. dental abscess, cellulitis, Ludwig’s angina, infective endocarditis, brain abscess, etc.).

And so our battle with ECC continues. Please help us spread the word to young mothers that tooth decay is preventable! They should brush their children’s teeth twice a day with a fluoride toothpaste as soon as the first tooth erupts. Toothbrushing is non-negotiable; parents don’t like to brush their children’s teeth when they cry, leading to eventual cavities. Drink water, limit snacking and sugar should not be given to children below 2 years old. And the children should visit a dentist by their first birthday and have a dental home throughout their life course.

Our children need us! Help us in our fight with ECC so we can have healthier children.