How Early Can My Child Wear Braces?

Most of us have gone through the "braces" phase in high school … it’s either we wore it because our mothers told us to or we wanted to wear it because everyone else had it; or we didn't want to wear it at all. At one point or another, all children will have eventually have something to say about it.

Braces is orthodontic treatment. Braces are commonly metal but ceramic or clear brackets were invented to address aesthetics. While “braces”is the common modality of orthodontic treatment, any appliance worn in the mouth inside or outside which are meant to align teeth and jaws to correct bite problems, relieve muscles or modify craniofacial growth either for aesthetics or function, they all fall under orthodontic treatment.

But as you will notice, as the years have gone by, more technologies were introduced. Instead of wearing metal braces, you can wear clear ones. Or even better, there is a technology (clear aligners) that instead of wearing brackets on your teeth, you wear something that looks like a mouth guard and they will slowly align the teeth. Myofunctional appliances, like mouthguards are now being recommended more and more for younger children with the ultimate goal of better teeth alignment. A myofunctional appliances train the oral muscles to influence the growth of the jaws, thereby affecting occlusion.

Is ortho treatment a high-priority or just for beauty?

There is the belief that ortho treatment is only for the vain people so they can be pretty. It does align the teeth, enhancing the symmetry of the jaws and the face. And, facial symmetry, is often associated with beauty and attractiveness. But is that what orthodontic treatment is all about?

Traditionally, orthodontic treatment is started on a child’s early teens , when all the permanent teeth have come out. This is when a full-blown problem is evident that the parents and the child become aware of. The child becomes conscious of how he/she looks as the pressure is there to look good because of schoolmates or social media.

But for us dentists, while we allow want a beautiful child, we look at function more closely. A crowded set of teeth is hard to clean and can lead to tooth decay (which eventually leads to pain and infection). A bad bite can lead to oral habits like mouth breathing, speech difficulties, tongue thrusting and temperomandibular joint (TMJ) disorders. Extremely protruded central incisors are at risk for injuries especially if a child is into contact sports.

As pediatric dentists, who see growing children on our dental chairs everyday, we are in the unique position to recognise a developing malocclusion and can recommend to treat immediately, defer treatment at a later time or refer the patient to a specialist. Early orthodontic treatment or what we call interceptive orthodontic treatment can be advantageous. It can guide the growth of jaw and teeth, addresses potential problems early before permanent teeth come in and if there is a real need to undergo metal brackets, then that will shorten treatment time.

But the question is — how early can a child start orthodontic treatment?

When to treat

  1. Oral habits

    Oral habits like —prolonged bottle feeding, thumb sucking, tongue thrusting, nail biting, mouth breathing — can all contribute to an open bite. An open bite is when the upper and lower teeth don’t come together causing a space in between. Imagine, how can a child bite on her chicken if she has an open bite!

    For oral habits, it is best to discontinue it immediately. For children who have a hard time stopping an oral habit on their own, they can wear an appliance that can help which can force them to stop. When a pernicious oral habit is discontinued, the teeth almost always self-corrects its alignment.

    For the mouth breathers, this warrants further investigation. Is the child mouth breathing because he/she has allergic rhinitis? A chronically clogged nose will force the child to breathe through his mouth. Does the child have large tonsils? Does the child snore? Snoring can be a symptom of sleep apnea; which have studies have shown children diagnosed with sleep apnea don't get enough sleep at night, giving rise to cognitive issues, like attention deficit hyperactivity disorder, poor grades in school, etc.

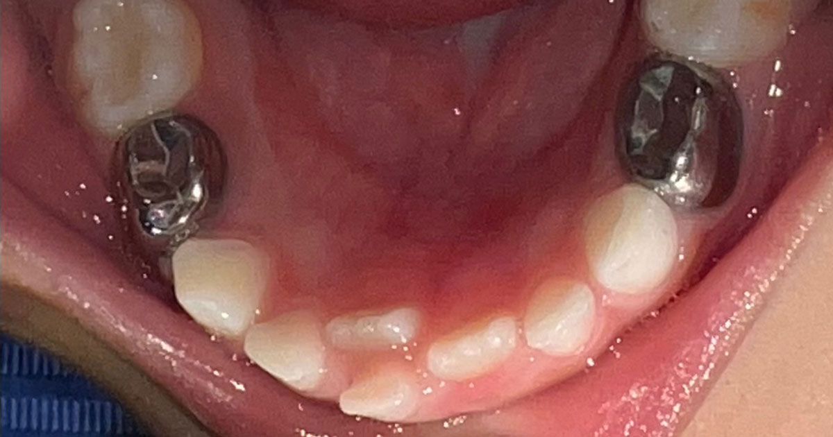
  2. Early loss of baby teeth

    We see a lot of children suffer from tooth decay. Their baby teeth have gotten so rotten that they are beyond repair and we have no choice but to pull out the teeth to save the child from pain and infection. When a tooth is pulled out too early, then other teeth will drift. As permanent teeth all don’t come out at the same time and certain teeth will only come out at a certain age, early loss of baby teeth will cause awkward spaces and which will make the other teeth drift. When this happens, this will eventually cause crowding of teeth.

    Preventive orthodontics is when we prevent a potential mal-alignment of teeth by putting space maintainers in cases of early loss of baby teeth. Space maintainers, as the name implies, keep that space open for the incoming permanent teeth. Your pediatric dentist should be able to prescribe the right space maintainer for your child.

  3. Protruded front teeth / Protrusive profile

    Having severely protruded teeth can be dangerous for children. Especially for children into sports - a soccer ball hit on the face, a fall on the balance beam or simply a bad accident during school intramural competition. And so in cases like this, if a child is not ready for orthodontic treatment to push back the teeth, wearing a mouth guard to prevent injury is highly recommended.

  4. Crossbites

    A crossbite is when an upper tooth is "locked in" by a lower tooth. It can happen on the front or back teeth. A crossbite on front teeth is something I'd prefer to treat immediately, especially when caught early. Anticipation of a impending crossbite on front teeth can also be very easy to manage. However, crossbites on posterior teeth can be harder to manage, therefore, a referral to a orthodontist / specialist is warranted.

When to refer to an orthodontist / specialist

Complicated issues like — missing, impacted or supernumerary teeth, posterior crossbites; and skeletal malocclusions that are inherited or are genetic should all be managed by an orthodontist. They undergo specialty training for three years, beyond general dentistry, focusing on the correction of dental and facial alignment issues.

Determining a good candidate for orthodontic treatment

Whether a child is younger or older or whether he/she will wear metal braces or an appliance, a child should be ready for an orthodontic treatment or else the treatment will fail. Unfortunately, a parent cannot force a child to do this. Orthodontic treatment after all, is considered an elective treatment.

A child should be responsible enough to clean his teeth with metal braces or a fixed appliance. Eating can be such a chore and embarrassing as well, as food gets trapped with all the nooks and crannies that brackets, wire and loops bring. Refraining from hard or sticky food, focusing on those that can be easily chewed and avoid biting on them can help plus toothbrushing after meals. And if the child is on a removable appliance, he still needs to be responsible enough to take care of it and not lose it; and to wear it as instructed.

A child should have the emotional maturity to understand that this is a treatment he is doing for himself; and not because his mother wants him to. He should learn how to eat with it, speak with it and not get annoyed by it! He should be able to deal with the discomfort or the pain that tooth movement brings. Beauty has its costs, as they say. And your child should be old enough to understand it. Otherwise, a child who doesn’t understand that it will benefit him will only resist the treatment. And you'll always foot the bill of broken brackets, damaged wires, not counting the setback in your child’s treatment if he manages to wiggle himself out of a dental appointment. The most conscientious patient usually finishes his treatment ahead of schedule.

At Pediatric Dentistry Center Philippines

We see younger patients seeking ortho treatment nowadays. Maybe because the parents are more aware, or the general dentists now are more educated. My daughter got her braces when she was nine years old. She was responsible enough then. I've had patients who also started at the same time. It can have its pros and cons. Starting an early treatment would mean less chances of relapse and the teeth move quickly; but this would also mean the duration of the treatment is longer and the braces were on and off for a period of time. The American Academy of Orthodontics now recommends sending the child to the orthodontist at seven years old.

In our pediatric practice, we see a lot of potential patients who will need braces in the future. When a child loses a baby tooth too early, you can expect crowding of your child’s teeth in the future. When a child has an upper front tooth locked behind the lower front tooth, then that won’t be able to jump into the right position without help. A child with hyperactive facial muscles can exert extra pressure on the teeth, causing them to be crooked. A child who breathes through his/her mouth or who has prolonged oral habits like thumb sucking, bottle-feeding and nail biting, can all affect the alignment of the teeth. And the list goes on – a narrow upper arch, too big permanent teeth compared to the child's jaws, etc.

Therefore, in our clinics, we try to intercept what may be a full-blown malocclusion, at which event, braces will be needed. And if your dentist thinks your child will do need orthodontic treatment in the future, conditioning your child will help prepare him for this inevitable event. PDCP has orthodontists as part of our team for convenient referrals and better management of the child.

But remember, orthodontic treatment can only be successful with discipline, commitment and of course emotional and financial support from parents.